
Beautiful and healthy smile convey that you are open and friendly. Missing tooth could be challenging obstacles limiting your confidence and inhibits desire to smile. Dental implants are effective and solution for replacement of natural teeth.
Dental implants can be used to replace
- Single Tooth
- Multiple Tooth
- As a full mouth Implant Supported Denture

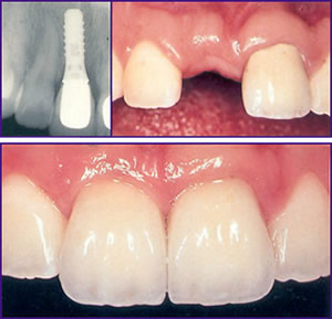
Implant Of Front Tooth
Benefits:
- Behave like natural tooth.
- Keep adjacent teeth stable.
- Can last lifelong.
- Prevent bone loss.
- Help keep you free of gum disease.
- Provide good chewing power.
- Prevent facial sagging.
- Prevent premature aging.
We believe Implants are not about replacing teeth; they are about replacing them with ones that look absolutely stunning.