
Are you worried about gum disease?
Is there bleeding from your mouth during brushing?
Are you having problem of bad breadth?
Our teeth are mainly supported by surrounding bone and gingival tissue (gums), which covers the bone. Inflammation or infection to gums causes loss of bone structure, resulting in loss of tooth support which causes tooth mobility and tooth loss.
Hence maintaining healthy gums is very very important to save your teeth.
Causes Of Gum Diseases-
- Accumulation of plaque or calculus (food debris) because of improper oral home care and techniques.
- Hormonal: At the age of puberty or in pregnancy due to hormonal changes, gum problems like bleeding gums occur.

Depigmentation
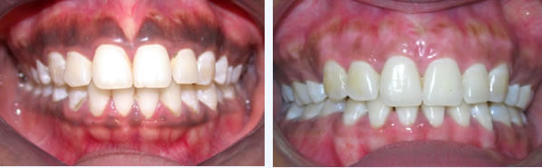
What Are The Various Treatments For Gum Problems?
- AccumulationTeeth cleaning
- HormonalGingival curettage
- Flap surgery
- Splinting of teeth
Other treatments such as Gum de-pigmentation, Gum reshaping with laser are also carried out.

Splinting Of Teeth
How To Avoid Gum Problems?
- Brushing the teeth twice a day.
- Brushing the teeth twice a day.
- Rinsing daily with mouthwash.
- Regular check up at six months interval, is a key to keep your mouth healthy and clean.
We offer latest and recent advanced techniques providing painless procedures and bloodless cleaning.